LOKALNO
FOTO: V murskosoboški bolnišnici prvič mehansko odstranili pljučni strdek
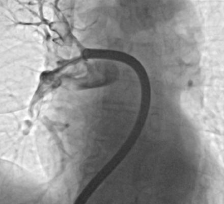
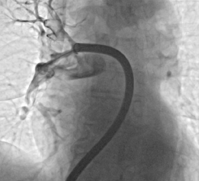
V Splošni bolnišnici Murska Sobota so naredili pomemben korak v razvoju sodobne medicine, saj so uspešno izvedli prvo mehansko odstranitev krvnega strdka iz pljučne arterije.
Poseg je opravil interventni kardiolog Danijel Crnčić ob podpori zdravnikov internistov kardiologov, Urške Bencak Ferko in Dušana Kovača ter celotne ekipe interventne kardiologije, kar predstavlja pomemben mejnik za zdravljenje ene najnevarnejših žilnih bolezni.
Pljučna embolija je resno in življenjsko ogrožajoče stanje, pri katerem krvni strdek, najpogosteje iz ven nog, potuje v pljuča in zamaši arterije. Posledice so lahko zelo hude, saj pride do motenega pretoka krvi, kar povzroča težko dihanje, bolečine v prsih, omotico ali celo nenaden kolaps. Gre za nujno stanje, pri katerem je hitro ukrepanje ključno.

Tradicionalno zdravljenje temelji na antikoagulantih, torej zdravilih za redčenje krvi, ki preprečujejo rast strdka in omogočajo njegovo postopno razgradnjo. V težjih primerih se uporabljajo tudi trombolitična zdravila, ki strdek raztopijo hitreje, vendar hkrati prinašajo večje tveganje za krvavitve.
V zadnjih letih pa se vse bolj uveljavlja sodobnejši pristop, to je mehanska odstranitev strdka s katetrom. Gre za minimalno invaziven poseg, pri katerem zdravnik skozi veno, običajno v dimljah, uvede kateter in ga pod nadzorom vodi do mesta zapore. Nato s posebnim sistemom ustvari podtlak in strdek fizično odstrani iz žile.

Prednost te metode je predvsem v tem, da omogoča hitro izboljšanje pretoka krvi skozi pljuča in razbremeni srce, ki je pri pljučni emboliji pogosto močno obremenjeno. Poleg tega se zmanjša potreba po agresivnih zdravilih, kar je še posebej pomembno za starejše bolnike ali tiste z dodatnimi boleznimi.
Nova metoda je posebej primerna za bolnike z hujšimi oblikami pljučne embolije ali za tiste, pri katerih uporaba trombolitičnih zdravil ni varna. Razvoj takšnih tehnik pomeni velik napredek, saj omogoča hitrejše ukrepanje in boljše možnosti za okrevanje.

Dosežek murskosoboške bolnišnice tako potrjuje, da tudi v Sloveniji sledimo najnovejšim medicinskim pristopom. V primerih, kjer so minute odločilne, lahko prav takšne inovacije pomenijo razliko med življenjem in smrtjo.
Foto: Splošna bolnišnica Murska Sobota
Fotogalerija
Komentarji
Opozorilo
Slovenski knjižni jezik je samo naš, zato ga cenimo. Na Pomurec.com želimo vzpodbujati njegovo rabo, zato vas naprošamo, da vaš komentar podate v slovenskem knjižnem jeziku. Pri tem sledite tudi načelom kakovostnega komentiranja. Najboljše komentarje bomo ob koncu leta nagradili.
Komentarji ne odražajo stališča uredniške politike Pomurec.com. Pozivamo vas k strpni in argumentirani razpravi brez sovražnega govora.
Po Kazenskem zakoniku KZ-1 je posameznik kazensko odgovoren za javno spodbujanje sovraštva, nasilja ali nestrpnosti ter za grožnjo, da bo napadel življenje ali telo druge osebe. Pomurec.com bo v primeru obrazložene zahteve državnih organov, ki temelji na zakonski podlagi, podatke o komentatorjih, s katerimi razpolagamo, tem tudi posredoval.

